Was ist Zahnfluorose?
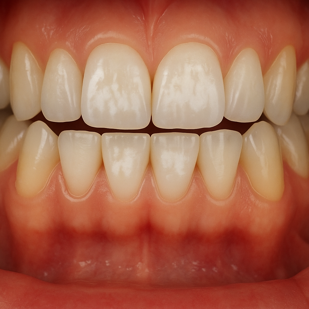
Zahnfluorose ist eine Veränderung des Zahnschmelzes, die durch eine übermäßige Fluoridaufnahme während der Zahnentwicklung (0–8 Jahre) entsteht. Sie zeigt sich durch weiße oder braune Flecken auf den Zähnen und eine porösere Schmelzstruktur. In schweren Fällen kann der Zahn matt oder rau erscheinen.
Fluorid schützt zwar vor Karies, doch ein Zuviel während der Schmelzbildung führt zu Zahnverfärbungen und ästhetischen Beeinträchtigungen.
Ursachen der Fluorose
Die Hauptursache ist eine zu hohe Fluoridaufnahme im Kindesalter, etwa durch:
- Trinkwasser mit hohem natürlichem Fluoridgehalt
- übermäßige Nutzung von fluoridhaltiger Zahnpasta bei Kindern
- unkontrollierte Einnahme von Fluoridtabletten oder Spülungen
- Lebensmittel oder Getränke mit fluoridiertem Wasser
Situation in Deutschland
In Deutschland enthält das Leitungswasser kein zugesetztes Fluorid.
Der Fluoridgehalt ist meist sehr niedrig (<0,3 mg/L), weshalb Zahnfluorose selten auftritt.
Zur Kariesprophylaxe werden fluoridierte Zahnpasten und Speisesalz empfohlen – keine Wasserfluoridierung wie in anderen Ländern.
Wirkungsmechanismus
Ein Fluoridüberschuss kann die Aktivität der Ameloblasten (Schmelzbildnerzellen) stören, was zu einer unvollständigen Mineralisierung führt. Das Ergebnis: poröse Stellen im Zahnschmelz und sichtbare weiße oder bräunliche Flecken.
Diese sogenannten White Spots oder braunen Verfärbungen sind typisch für Fluorose-Zähne.
Klinische Erscheinungsformen
Je nach Schweregrad:
- Leicht: feine, weiße Linien
- Mittel: opake, weiße Flecken (symmetrisch)
- Stark: bräunliche Flecken, raue Oberfläche
Häufig betroffen sind Frontzähne und Prämolaren. Charakteristisch ist das symmetrische Muster auf beiden Seiten.



Diagnose
Die Diagnose erfolgt durch klinische Untersuchung und Erhebung der Fluoridexposition in der Kindheit.
Zur Bewertung des Schweregrades dient der Dean-Index.
Wichtig: Fluorose muss von anderen Ursachen für Zahnverfärbungen wie MIH oder Schmelzhypoplasie unterschieden werden – da sich die Behandlungsmethoden unterscheiden.
Ästhetische und emotionale Auswirkungen
Fluorose ist nicht schmerzhaft und kein Risiko für Karies, kann jedoch das Selbstbewusstsein stark beeinträchtigen.
Viele Patienten wünschen sich eine Behandlung zur Wiederherstellung eines gleichmäßigen, weißen Lächelns – etwa durch professionelles Bleaching oder Zahnaufhellung beim Zahnarzt.
Behandlungsmöglichkeiten bei Zahnfluorose
1. Minimalinvasive Optionen
- Mikroabrasion: Eine dünne Schicht Zahnschmelz wird entfernt, um oberflächliche Flecken zu glätten.
- Professionelle Zahnaufhellung (Bleaching): Die Zähne werden schonend aufgehellt, um die Verfärbungen zu harmonisieren.
- Kombination aus Mikroabrasion und Bleaching: Besonders effektiv bei leichten bis mittleren Fällen von Dentalfluorose.
2. Restaurative Behandlungen
In den meisten Fällen reicht eine professionelle Zahnaufhellung aus, um die Flecken deutlich zu reduzieren.
Nur bei schweren Verfärbungen sind Veneers oder Kronen sinnvoll.
Das Ziel ist immer: ästhetische Verbesserung bei maximaler Zahnschonung.
Vorbeugung
- Fluoridzahnpasta richtig dosieren:
- Kinder unter 3 Jahren: reiskorngroße Menge
- Ab 3 Jahren: erbsengroße Menge
- Kinder unter 3 Jahren: reiskorngroße Menge
- Kindern beibringen, Zahnpasta nicht zu schlucken
- Fluoridpräparate nur nach zahnärztlicher Empfehlung
- In Deutschland: Verwendung von fluoridiertem Speisesalz unbedenklich
Verbreitung
Zahnfluorose ist in Deutschland selten, häufiger jedoch in Ländern mit natürlich fluoridiertem Trinkwasser (>1,5 mg/L), etwa in Teilen von Indien, Mexiko, Afrika oder China.
Prognose und Ergebnisse
Zahnfluorose schadet den Zähnen nicht, beeinträchtigt aber die Ästhetik.
Durch eine professionelle Zahnaufhellung oder ein sanftes Bleaching lässt sich das Erscheinungsbild sichtbar verbessern – ganz ohne Schmelzschäden.
Patienten berichten nach der Behandlung über deutlich hellere und gleichmäßigere Zähne (Bleaching vorher-nachher-Effekt).
Bei guter Mundhygiene und regelmäßigen Kontrollen ist die Prognose ausgezeichnet.